Check out Diamond’s foot care!
August 17th
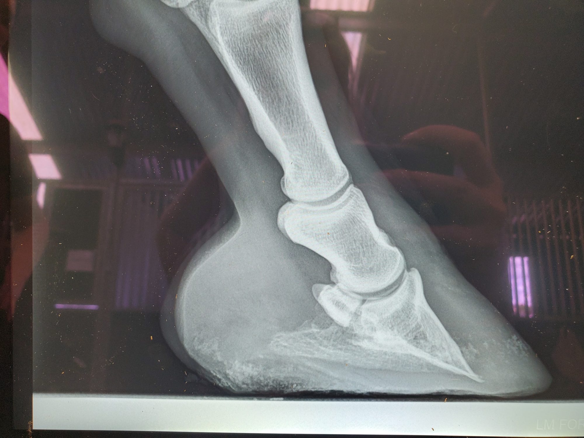
[VIDEO] Our pretty boy Diamond (Saphire x Shadowfax) needed rescue after he ripped his hoof off in a cattleguard at Butcher Jones. While euthanasia was recommended, we stubbornly refused, and instead, we gave him the very best chance to prove to everyone that wild horses are absolutely miraculous in healing themselves. He sure did that!
While no expert or veterinarian believed it would happen, he grew an entirely new hoof that looks normal. (Of course it took months and months of daily care on our part)
However, the coffin bone is still only half a coffin bone and it is pointed down and sideways (see his most recent x rays). Because he does get uncomfortable sometimes, we give him the very best of hoofcare and very special aluminum shoes.
It is a lifelong commitment to making him as comfortable as possible and give him a quality life with his buddies Rosco and Pacman.
We can only provide quality care like this, because we try to find sponsors for their care.
However, ever since the pandemic, many sponsors have canceled their monthly support and we just rescued even more wild horses from the Alpine herd.
Our sponsorships don’t have a minimum like the big organizations with spots on TV. We don’t spend money on advertising. Therefore you can sponsor Diamond, or any other rescue, for the price of a cup of coffee per month, or for the price of a manicure per month, that doesn’t matter. What matters is not how much, but just the act of really doing it, and becoming our sponsor.
What matters is knowing that you make a difference. We need sponsors badly to continue to do what we do best; which is treating wild horses humanely, both in the wild and in our care. Thank you so much to our existing sponsors and donors! Let’s continue to go the extra mile for wild horses everywhere!
Gratefully, SRWHMG



